SeeGrid™
Product Information
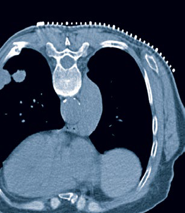
Guiding grid visible in x-ray
SeeGrid™ is a marker to help transfer position information from the CT image to the patient’s skin. The soft, flexible light blue plastic is filled with barium.
- Increase position transfer accuracy
- Ensure good visibility in all x-ray based image modalities







